- Home
- 子どもの歯 予防矯正「プレオルソ」で歯並び口呼吸を治す
子どもの歯 予防矯正「プレオルソ」で歯並び口呼吸を治す

「プレオルソ」は小児用のマウスピース型矯正装置です。
対象年齢は4~10歳(6歳ごろがベストです。)
この装置の特徴は「歯を直接動かす」のではなく、歯並びを悪くしている原因(口の周りの筋肉)を改善することで「間接的に歯並びを改善」されることが期待できます。
歯は適当に生え並んでいくのではなく、「舌・頬・唇の筋肉」のバランスに合わせて並んでいきます。
つまり、この口周りの筋肉のバランスが悪ければ歯並びは悪くなり、バランスが良ければ理想の位置に自然と並んでいくのです。
院長からの想い
歯医者としてできる健口からの健康を微力ながら提供したいと思ってきました。
ここ数年、衛生士さんと共に勉強しながら、口腔周囲筋のトレーニングと重要性を伝えてきたつもりです。
しかし、残念ながら皆さん日々の勉強、習い事etc…で次検診に来た時はすっかり忘れて中々、
上手く伝わらない事が多くて悩んでおりました。
ある日、親御さんから「マウスピース矯正はしてないんですか?
今なら小さな顎が成長するかもしれないのに。」との言葉で、
保険適応ではないので少し悩んでましたが、プレオルソ導入を決めました。
プレオルソで口腔周囲筋をトレーニングして 正しい嚥下 呼吸 姿勢 を
習得して頂き審美的に美しい口元で、そして健康に成長して頂きたいと願っております。
なぎさ歯科 院長 加藤申子
プレオルソの効果
プレオルソは、装着することで自然と頬や舌の筋肉を鍛えるとともに、お口の悪い癖(お口ポカンなど)を改善し、
結果として歯並びが綺麗になったり、咬み合わせの改善、正しい嚥下、発音、鼻呼吸へうながすといった効果があります。
そして何より、顔貌を整える効果も期待できます!!

お子様のこんな症状気になりませんか?
☑お口ポカン
☑指吸い 唇を噛む癖がある
☑不正咬合(上顎前突・開咬・過蓋咬合・反対咬合・叢生)
☑力の入りすぎている口元
☑正しい発音ができない
☑咬み合わせが悪い
☑姿勢が悪い
☑口呼吸している
☑頬づえをついている
☑寝相が悪い(横向き寝・うつぶせ寝)



これらの問題は、プレオルソで改善できます。
プレオルソの種類
プレオルソ type-Ⅰ

Screenshot
プレオルソ type-II

Screenshot
プレオルソ type-Ⅲ

Screenshot
プレオルソイニシャル
プレオルソイニシャル サイズ比較

Screenshot
プレオルソイニシャル サイズ比較

Screenshot
プレオルソイニシャルⅢ

Screenshot
プレオルソの適応症例は?
過蓋咬合について
反対咬合(受け口)について
プレオルソを装着しながらお口のトレーニングや、発音、嚥下の練習をすると…
☑歯ならびの改善
☑咬み合わせの改善
☑お口ポカンの改善
☑正しい発音や飲み込み
☑口呼吸から鼻呼吸へ
歯並びだけでなく、口周りの機能を改善する訓練を同時に行うことが可能です。
そして何より、将来の美しい顔貌を得ることも期待されます。
プレオルソの使用方法
プレオルソをご利用いただいている患者様のご感想
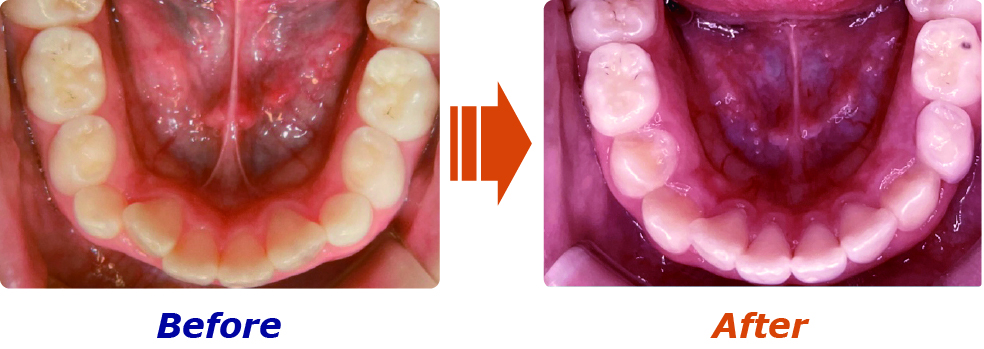
小学2年生から2年間プレオルソを頑張ってくれた患者様
症例写真とプレオルソの感想の紹介




通院時
必ず装置を持ってきてください。装置の取扱い方法、家庭で行うトレーニングの指導をいたします。

家
日中 1時間以上
ご自宅にいる時で構いません。
★装置を入れてお口を閉じたり話をする練習をします。

夜
就寝時 装置を入れた状態で寝ます。口が開いてしまうときは唇にサージカルテープを留めます。


+プラス!
さらに治療効果を高めるために以下のようなトレーニングを行います。
舌・口元のトレーニング +発音のトレーニング+水を飲みこむトレーニング+
あいうべ体操 など当院にて指導します。
あ |
い |
う |
べ |
プレオルソの治療の流れ
★Step1 相談
・一般的な説明 (治療期間・費用など)
★Step2 資料集め(開始することが決定したら)
・レントゲン ・口腔内写真 ・歯の型取り(模型作成のため)
・問診票、矯正治療同意書、承諾書記入 など
★Step3 治療開始
プレオルソの使い方などの説明、MFT(口腔筋機能訓練)のやり方の指導
以後、1週間後、1か月後に経過観察でご来院していただきます。
その後の経過観察は3ヵ月ごとの定期検診時に行います。
経過観察の来院の間隔は医院の指示に従って頂きます。
プレオルソの費用・治療費
プレオルソの費用は ¥99,000(税込) です。
管理料や初期診断費用は一切かかりません。
2年間で途中1回の装置交換の費用込みなので
★2年以降はフォローアップ期間として装置交換が必要な場合は ¥11,000(税込)の費用がかかります。
プレオルソの治療期間
2年間を目安にしておりますが、ご家庭での装着の状況や、口腔機能訓練のやり方によっては期間が延びることもあります。
プレオルソに関するご相談は無料ですのでお気軽にご相談ください。
※当院に初めてお越しいただく場合は別途検診費用(保険内)がかかります。
お問い合わせお待ちしております♪
WEB予約
初診ご予約は以下のボタンをクリックして、予約システムにてご希望日時をお選びください。











